
450 Sutter St, Suite 1905 San Francisco, CA 94108

8:00am - 6:00pm (M-F) Se Habla Español.

6360 South 3000 East Ste 305 Cottonwood Heights, UT


TOP RATED in San Francisco
4.9 Rating on Google
450 Sutter St, Suite 1905 San Francisco, CA 94108
8:00am - 6:00pm (M-F) Se Habla Español.
Time To Take Care Of Yourself
of the FACE
NO DOWNTIME, Needle free solution.
Learn how we can reduce your double chin
IN 20 MINUTES
Ultra-thin, natural-looking veneers designed with advanced digital technology.

Take Our 1-Minute Quiz Below to Find Out If You're Eligible for Dental Implants!
This Month - 4 Friday sessions for just $3,200 ($6,400 - ie: 50% Off! Value)





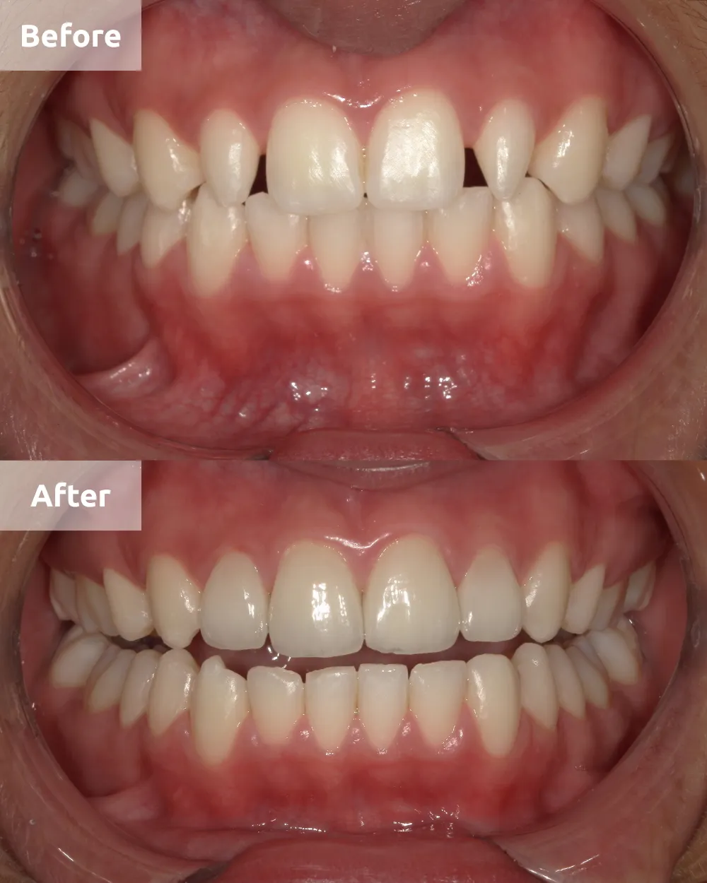
Our patients’ smiles speak for themselves.
See how our advanced cosmetic dentistry transformed their appearance, restored their confidence, and delivered truly life-changing results.


Do you ever feel like small imperfections are holding your smile back? Stains, chips, or uneven edges can quietly affect your confidence, but they don’t have to.
Porcelain veneers are thin, custom-crafted shells made from high-quality dental porcelain, designed to blend seamlessly with your natural teeth.
Once bonded to the surface, they instantly improve the color, shape, and symmetry of your smile, creating a radiant and natural-looking result.
At Implants Pro Center - Facial Aesthetics, Dr. Mohamed Ali combines advanced skill with an artistic touch to craft smiles that look flawless and feel authentically you.



That’s a total of 10 customed veneers designed to completely transform your smile.
For a short time only, when you start your veneer treatment with Dr. Mohamed Ali, you’ll receive 6 FREE veneers when you buy four, plus a free consultation, to help you keep your new smile bright and healthy.
Enjoy full coverage, a brighter smile, and a natural, seamless look, all crafted by one of the top cosmetic dentists in your area.
Schedule your Free Consultation today!
Almost all of our patients qualify for porcelain veneers.
While veneers aren’t meant to correct functional problems like a misaligned bite, they’re an excellent solution for enhancing the appearance of your smile.
If you’re bothered by cracked or chipped teeth, small gaps, discoloration, worn edges, or teeth that appear uneven in shape, veneers can restore harmony and balance to your smile, giving you a brighter, more confident look that feels completely natural.

Time To Smile With Confidence
Restore Your Smile in
Just One Visit
Beaverton Oral Surgeons specialize in Dental Implants, and our trained staff has been serving western Oregon’s specialized dental needs for over 25 years. We strive to stand out amidst dated dental procedures and corporate care by using only the highest quality of techniques and equipment.
New Set of Teeth on the Same Day
Take this 1-Minute Quiz
Let's Get Started
10,000+
Happy Patients
37+
Years in Practice
Implants Surgically Placed
Porcelain veneers are custom-designed to create a bright, natural-looking smile that complements your features.
In just a couple of visits, your veneers are precisely crafted and bonded to your teeth, instantly improving color, shape, and symmetry.
There’s no special care required, just brush and floss as usual. The result is a confident, lasting smile that feels as good as it looks.

Dental implants feel and function like natural teeth and are a great way for you to get back to smiling and eating naturally.
With dental implant placement, we can create a whole new you in just one visit. If you are a good candidate, you may be able to go home the next day or sooner with new teeth and a beautiful smile.
Implants Pro Center - Facial Aesthetics utilizes the latest dental implant procedures and technology.

Fixed Full Arch Dental Implants (also known as All on Four or All on Six) offer the best option for people looking for a long-term solution and a perfect smile.
Matched to your face and mouth
Permanent and don't need to be removed
Look and feel most like normal teeth
Designed to attach to 4-6 implants per arch
Bite force of 95%
Starting at

Implant Supported Dentures, also called Overdentures or Snap-On Dentures are another popular option. They offer a more cost-effective solution compared to fixed full arch implants.
Help to slow or eliminate progressive bone loss
Improve the taste and feel of food compared to a traditional full denture
Snap on over 2 to 4 implants
Bite force of 50% (As compared to 20% for traditional dentures)
Starting at
Zygomatic dental implants offer a unique approach to tooth replacement by anchoring implants in the cheekbones instead of the jawbone.
This eliminates the need for altering the jawbone and provides stable support for fixed teeth. With longer implants, zygomatic implants can accommodate replacement teeth effectively.
When performed by a skilled clinician familiar with 3D anatomies, such as Dr. Mohamed Ali, you can have that amazing smile again.
The Benefits of Zygomatic Implants:
Requires fewer surgeries
Supports secure, natural-looking teeth
Eliminates the need for bone grafting procedures
Provides reliable, long-term function

Zygomatic dental implants offer a unique approach to tooth replacement by anchoring implants in the cheekbones instead of the jawbone.
This eliminates the need for altering the jawbone and provides stable support for fixed teeth. With longer implants, zygomatic implants can accommodate replacement teeth effectively.
When performed by a skilled clinician familiar with 3D anatomies, such as Dr. Mohamed Ali, you can have that amazing smile again.
The Benefits of Zygomatic Implants:
Requires fewer surgeries
Supports secure, natural-looking teeth
Eliminates the need for bone grafting procedures
Provides reliable, long-term function

Implants Pro Center - Facial Aesthetics offers a unique alternative to All-on-4 that is lighter and thinner. The 3 on 6™ dental implants are specially designed to restore your natural eating and chewing. As the name states, six implants are installed to provide strength and stability while protecting from jawbone loss. Three natural-looking, bright, and solid Zirconium bridges are connected to the six implants with no acrylic mouthpiece. This means the bulkiness of a traditional full arch mouthpiece goes away. You can chew, smile, and speak freely. It's like having natural teeth!
Caring for your new implants is a breeze; you only need to brush and floss, that's it. No trips to the doctor to remove your arch to clean out the mouthpiece!
3 on 6™ is considered one of the best smile restoration treatments available. Come visit and learn more.


TEETH IN A DAY

LIFELONG SOLUTION
Get the smile you want for a lifetime.

EXPERTS
Full Arch Dental Implants

Reconstructive Dental Specialists of Utah provides a state-of-the-art dental implant process that will leave you with teeth that look, feel, and function naturally. You could be showing off those natural-looking teeth after only one visit.
Because Full Arch Dental Implants are a complete replacement for a top or bottom set of teeth, it's a great choice for those with multiple damaged or missing teeth.
Do you need a plan?
We can walk you through the best steps to fit your exact dental needs.
Now is the best time to learn more about dental implants, contact us today. Our staff is ready to get you back to loving your smile.
See if your eligible for a free consultation today!
Full Arch Dental Implants
Reconstructive Dental Specialists of Utah provides a state-of-the-art dental implant process that will leave you with teeth that look, feel, and function naturally. You could be showing off those natural-looking teeth after only one visit.
Because Full Arch Dental Implants are a complete replacement for a top or bottom set of teeth, it's a great choice for those with multiple damaged or missing teeth.
Do you need a plan?
We can walk you through the best steps to fit your exact dental needs.
Now is the best time to learn more about dental implants, contact us today. Our staff is ready to get you back to loving your smile.
See if your eligible for a free consultation today!

You can also...
Book Your FREE Virtual Consult Today!
Request your FREE video consultation today. No appointments, no waiting - simply submit your photos and receive a FREE video consultation.



Porcelain veneers can last 10 to 20 years or more with proper care. Regular brushing, flossing, and dental checkups will help them stay strong and bright for years to come.
Not at all. The procedure is gentle and minimally invasive. Most patients experience little to no discomfort, and local anesthesia can be used to ensure your comfort during treatment.
Each treatment takes 20 minutes, and is performedNo special maintenance is needed. Just brush, floss, and schedule regular cleanings as you normally would. Avoid biting very hard objects, and your veneers will keep their shine and strength for years. 1/ wk, for typically 4 weeks.
Most veneer cases are completed in two visits, one to prepare your teeth and take impressions, and another to bond your custom veneers once they’re ready.

Dr. Mohamed Ali is not only a nationally recognised dental implant specialist, but he has also ventured into the field of facial aesthetics with the EMFACE. A dentist, such as Dr. Ali when designing a patient's smile, or reconstructing their mouth has to consider other aesthetic aspects that go beyond fixing a person's teeth. He must consider things such as the bone structure of the entire face, the symmetry, existing malformities, the tightness of the skin, etc.
After many years of helping thousands of patients restore the aesthetic component of their smile, Dr. Ali has learned the importance of the aesthetics of a person's face, and the impact it can have on their self-esteem and social functioning. This is why he has introduced EMFACE, a revolutionary non-surgical facelift alternative for both men and women into his practice.
It's Time To Love Your Smile
Don't hide your smile anymore. It's time to take care of yourself!
© 2026 Implants Pro Center - Facial Aesthetics. All Rights Reserved.